矯正治療後の後戻りについて
矯正治療できれいに並べた歯並びが、もとの状態に戻ろうとする現象を「後戻り」といいます。程度は人によって異なりますが、治療にかけた時間やお金が無駄になってしまう可能性も少なくありません。
「どのような行動が後戻りを誘発するか」を正しく理解して、後戻りのリスクを最小限におさえましょう。
矯正治療後に後戻りがおこる主な原因
矯正治療は、歯並びやかみ合わせを整えることを目的としていますが、歯が理想の位置に移動したら終わりではありません。
後戻りがおこる主な原因をくわしくみていきましょう。
保定装置を正しく使用していない
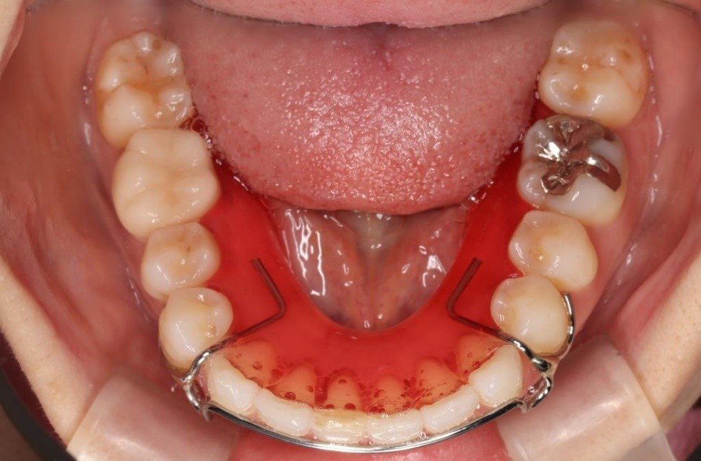
きれいに並んだ歯列が崩れないために一定期間使用する装置を「保定装置」といい、前歯の裏面に貼り付ける固定式のタイプと、マウスピース型の取り外しが可能なタイプの2種類に分けられます。
固定式の場合は装置の脱離、取り外し式の場合は装置の着脱のタイミングや装着時間の不足が後戻りにつながる可能性があるため、注意しなければいけません。
口周りの癖や悪習慣が改善されていない
「舌を前に出す癖」や「唇を噛む癖」など口周りの癖が残っていると、歯に余計な圧力がかかって歯並びが崩れてしまいます。一見歯並びとは関係がないように思える「うつ伏せ寝」や「猫背」などの悪習慣も、下顎の位置がズレることでかみ合わせが崩れて、結果的に歯並びに影響するため注意が必要です。
定期メンテナンスを受けていない
固定式の保定装置の場合、前歯の裏側に装置がつくためトラブルがおこっても気づきにくく、発見が遅れて後戻りにつながるケースも珍しくありません。取り外し式の場合であっても、装置の取り扱い方法を誤ると変形や破損につながるため、定期的なチェックが必須です。
矯正治療後の後戻りを治すには?
保定装置を作り直して対応するケースと、矯正治療をはじめからやり直すケースに分けられます。ズレが大きい場合は、再び一から治療を始めるしか方法がありません。
後戻りの原因が「患者様の管理不足」である場合は、保証は適用されませんので矯正治療に時間やお金を再びかけることになります。
「ちゃんと管理しておけばよかった」と後悔しないよう、後戻りを防ぐためのポイントをおさえておきましょう。
後戻りを防ぐための3つのポイント
後戻りを防ぐためには、原因を回避することが重要です。
以下のポイントを抑えて、後戻りのないスムーズな治療を目指しましょう。
保定装置を正しく使用する
保定装置は、1日あたり20時間以上装着する必要があります。取り外しが自由にできるマウスピースタイプ、入れ歯のような素材で内側から支える床タイプなどは装着時間を意識して過ごさなくてはいけません。もちろん就寝時にも必ず装着し、食事やお手入れのとき以外はできるだけ外さないようにしましょう。
取り外しをしなくてよい固定式の保定装置は歯間のお手入れが難しく、虫歯になりやすいので、毎日のブラッシングにはより注意が必要です。装置が部分的に外れてしまっていても、患者様が気が付かないことも多いので定期的な受診が必要不可欠です。
矯正治療と癖の改善を同時進行で行う
矯正治療が終了しても、口周りの癖や悪習慣があると歯並びが再び崩れてしまいます。矯正治療と専用のトレーニングを同時に行って、歯並びが整う前に癖を改善しておきましょう。
日常生活の悪習慣のなかには、自覚しにくいものも存在します。家族やパートナーと一緒に暮らしている場合は、周囲に協力してもらって癖がないかチェックするのがおすすめです。
定期メンテナンスをしっかり受ける
定期メンテナンスは、装置の脱離や変形といったトラブルだけでなく、むし歯や歯周病といった一般的なトラブルの早期発見にも役立ちます。
トラブルの早期発見・早期対処ができない状態では、保証の対象外となるケースがほとんどですので、損をしないためにも定期メンテナンスはしっかり受けるようにしてください。
正しく管理をして後戻りから歯並びを守ろう
後戻りを防ぐには、歯がきれいに並んだ状態をキープするための「保定装置」を正しく使用して、管理する必要があります。装着時間が不足していたり、脱離や変形といったトラブルの発見が遅れたりすると、後戻りを防ぐことはできません。口周りの癖や悪習慣が残っていると、保定装置を正しく使用しても後戻りがおこる可能性があるため、とくに注意が必要です。矯正治療前に癖や悪習慣がないかをチェックして、必要であれば改善のためのトレーニングを行いましょう。
トラブルのなかには患者様自身で気づきにくいものもありますので、定期メンテナンスは忘れずに受けるようにしてください。正しく管理をして、後戻りのない美しい歯並びを目指しましょう。

