矯正治療後に歯と歯の間の隙間が気になりませんか?

矯正治療が終了した後「歯並びは綺麗になったけど、歯と歯の隙間が気になるようになった」というお声を耳にすることがあります。これは、矯正治療で歯の位置や形が変化したために起こる現象です。今回は、矯正治療後の気になる歯の隙間「ブラックトライアングル」について、隙間ができる理由やで隙間ができやすい人、治療法などについて解説します。
矯正治療後、「ブラックトライアングル」ができる理由
矯正治療後、治療前にはなかった歯と歯の隙間が気になるという方がいらっしゃいます。これは治療によって、歯の位置や見えている歯の形状が変化することで「ブラックトライアングル」が目立ちやすくなったり、歯と歯の間の歯肉が失われたりするために起こる現象が理由の場合があります。
以前、当ブログで矯正治療の際に歯を削る処置「IPR」をご紹介しました。「IPR」の目的の1つは、歯の根元や歯と歯の間にできる隙間「ブラックトライアングル」を小さくすることです。見た目の美しさだけの問題ではなく、歯磨きのしやすさや機能面からも、歯と歯の隙間の発生は好ましくありません。
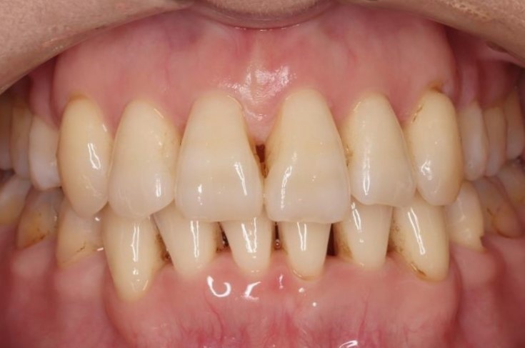
「ブラックトライアングル」とは
「ブラックトライアングル」とは、歯と歯の間に形成される三角形の隙間です。どうしてできるのか、できやすい人はいるのか、といった特徴を見ていきましょう。
原因
- 歯肉の退縮…歯周病や加齢に伴い、歯肉が痩せたり下がったりすることで隙間が生じます。
- 歯の形…三角形に近い形の歯だと、隙間ができやすい傾向があります。
- 矯正治療の影響…矯正治療を行うことで歯の位置が変わると歯肉が減ることがあります。
できやすい人
- 矯正治療前に歯が重なっていた人…治療前に歯が重なっていた場合、治療後に歯肉が薄くなりやすいと言われています。
- 歯周病の既往がある人…歯肉が不健康だと歯の隙間が目立ちやすくなります。
上記のような症状に心当たりがある方は要注意です。「ブラックトライアングル」の予防には以下のような方法を取り入れると良いでしょう。
予防方法
- 正しいブラッシング…適切な方法と力加減で歯みがきを行い、歯肉を傷つけないようにします。自分にあった歯ブラシを選ぶことや歯間ブラシ・デンタルフロスなどの道具の使用も効果的です。
- 歯周病の早期治療…歯ぐきがやせる・下がるといった歯肉退縮を防ぐためにも、歯周病の早期発見と治療が重要です。
- 定期的な歯科検診…歯科医院で口腔内の健康状態を定期的に確認することで、虫歯や歯周病などの口腔トラブルの早期発見・早期治療につなげます。
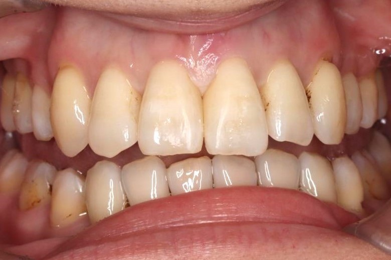
矯正治療でできた隙間を治す方法
では、歯と歯の隙間を具体的に治す方法はどのようなものがあるか、「IPR」以外の方法をご紹介します。
詰め物で埋める
歯の形を調整し、レジンやセラミックなどの詰め物で隙間を埋める方法です。短時間で治療が終了するため、比較的手軽に行うことが可能です。
再矯正する
再矯正とは、矯正治療を受けた後に再び歯並びや噛み合わせの改善のため、治療をすることです。もう一度矯正装置を使って、歯の位置を微調整して隙間を縮めます。
歯肉の再生治療を行う
歯肉の厚みを回復させ、隙間を目立ちにくくします。再生材料を使用したり、自身の歯肉を別の部分から移植するといった方法で歯肉の高さや厚みを増やします。再生治療には手術を伴う場合もあります。
このような方法のうち、患者様のお口の状態に合わせて最適な方法を選択し、行われます。
矯正治療のリスクを理解して最善の選択を
矯正治療で歯並びを整えても、こうした「ブラックトライアングル」が発生するリスクがあります。「ブラックトライアングル」は、見た目の問題だけでなく、歯みがきがしにくくなるため虫歯や歯周病のリスクも伴います。治療することも可能ですが、中には再矯正や手術が必要になるケースもあるでしょう。矯正治療に加えて治療に時間とお金、そして精神的・肉体的負担がかかるということです。
綺麗な歯並びには憧れるものですが、歯並びを整えることで新たなトラブルが発生する可能性もあります。口腔環境の向上、改善、そして維持のため、担当医と相談しながらメリットだけでなくリスクも理解した上で自分に合った選択をすることが何よりも重要です。当院では一人一人の患者様に向き合い、最適な矯正治療計画をご提案いたしますので、気になる方はぜひ一度、ご相談ください。早めに対処できれば、美しい口元と健康な口腔環境維持の両立も可能です。

