武蔵浦和駅で歯並びや矯正歯科のご相談なら
スカイ&ガーデンデンタルオフィスまで
症例集
CASE
ホーム
ドクター紹介
マウスピース矯正
ワイヤー矯正
子どもの矯正
インビザライン・ファースト
治療費
症例集
ホーム
home
ドクター紹介
doctor
マウスピース矯正
mouthpiece
ワイヤー矯正
wire
子どもの矯正
children
インビザライン・ファースト
invisalign first
治療費について
cost
症例集
cases
矯正ブログ
blog
スカイ&ガーデンデンタルオフィス 矯正専門サイト
ホーム
症例集
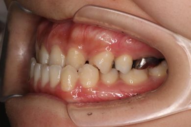
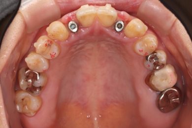
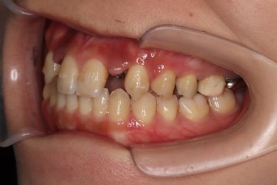
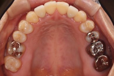
先天性欠如による上顎前歯欠損部にインビザライン術前矯正とインプラントを埋入した症例
先天性欠如による上顎前歯欠損部にインビザライン術前矯正とインプラントを埋入した症例
初診時・インプラント・終了時
一覧へ戻る
次へ
TIME SCHEDULE
診療時間
診療時間
月
火
水
木
金
土
日
9:30 - 18:30
●
●
●
●
●
○
○
○
土曜日、第1・3・4日曜日は9:00~17:30まで
※ 休診日:祝祭日、第2・5日曜日
CONTACT
お電話でのお問い合わせはこちら
TELEPHONE
WEBからのご予約はこちら
WEB RESERVATION
PAGE TOP